نقشهبرداری از سیستم دفع مواد زائد مغز انسان برای اولین بار
به گزارش خبرنگار گروه علم و فناوری خبرگزاری برنا؛ پس از سالها گمانهزنی، عملکرد درونی "سیستم فاضلابی" مغز ما در حال آشکار شدن است.
برای اولین بار، دانشمندان توانستند شبکه پیچیدهای از لولههای داخلی مغز را در پنج مغز انسانی به تصویر بکشند؛ سیستمی که پیش از این فقط در موشها مشاهده شده و تنها در انسانها فرضیهای بیش نبود.
این یافتهها از وجود سیستم گلیمفاتیک پشتیبانی میکند؛ سیستمی که برای اولین بار در سال ۲۰۱۲ در مغز موشها شناسایی شد. این سیستم مایعی به نام مایع مغزی-نخاعی (CSF) را که خارج از مغز را شستوشو میدهد، به داخل مغز منتقل کرده و مواد مغذی را تأمین میکند و همچنین محصولات زائد مانند پروتئینهایی که در بیماری آلزایمر انباشته میشوند را دفع میکند.
از سال ۲۰۱۲، مطالعات پیشگامانهای نشان دادهاند که سیستم گلیمفاتیک در مغز انسان نیز وجود دارد، اما تا زمانی که حرکت مایع از بیرون مغز به فضای بین نورونها بهوضوح دیده نشود، این ایده به شدت مورد بحث بوده است.

"خوان پیانتینو" از دانشگاه علوم و بهداشت اورگان (OHSU) که در این پژوهش نقش داشته، گفت: من همیشه نسبت به این موضوع شک داشتم و هنوز هم شکاکانی هستند که به این سیستم باور ندارند. این یافتهها آن را به یک کشف قابل توجه تبدیل میکند.
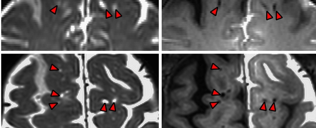
پیانتینو و همکارانش در OHSU اولین کسانی هستند که توانستهاند مایع بیرنگ مغزی را در حال جریان به درون بافت مغز انسان زنده مشاهده کنند. این پژوهش با رضایت پنج بیمار که تحت جراحی مغز قرار داشتند و نیاز به تخلیه مایع مغزی-نخاعی داشتند، ممکن شد. دانشمندان قبل از جایگزینی این مایع، آن را با مادهای تیره ردیابی کردند و سپس با استفاده از تصویربرداری رزونانس مغناطیسی (MRI) محل جریان مایع را در مغز بیماران نقشهبرداری کردند.
نتایج نشان داد که مغز انسان بهصورت تصادفی این مایع را جذب نمیکند، بلکه مایع از طریق مسیرهای خاصی که در امتداد عروق خونی قرار دارند، به اعماق بافتهای عصبی نفوذ میکند. این فضاهای پیرامونعروقی با سلولهای مغزی احاطه شدهاند که یک مانع نیمهنفوذپذیر ایجاد میکنند.
ارین یاماموتو، جراح مغز و اعصاب OHSU، گفت: در تصاویر MRI میتوان مشاهده کرد که این فضاهای پیرامونعروقی به تدریج روشنتر میشوند، همانطور که ماده ردیاب تیره به اعماق مغز نفوذ میکند.

این مطالعه که در مجله PNAS منتشر شده، نشان میدهد که فضاهای مملو از CSF در مغز انسان ساختارهای ثابت و بدون تغییر نیستند، بلکه بهعنوان مجراهای فعال عمل میکنند و مایع مغزی-نخاعی را به سراسر مغز توزیع میکنند.
انتهای پیام/





