کشف درمانی نوین برای پارکینسون
به گزارش خبرنگار گروه علم و فناوری خبرگزاری برنا؛ محققان به تازگی کشفی جدید در زمینه بیماری پارکینسون داشتهاند که میتواند به توسعه درمانهای مؤثری منجر شود.
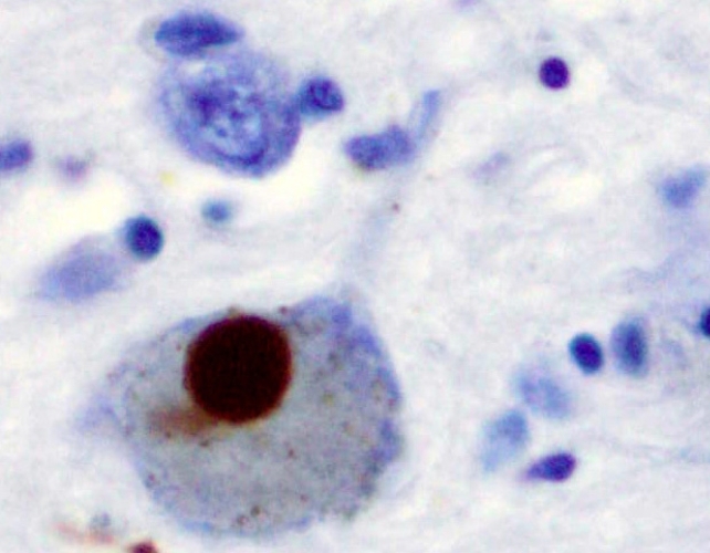
این تحقیقات نشان میدهد که پروتئین سطح سلولی به نام Aplp۱ نقش مهمی در انتشار پروتئینهای مضر آلفا-سینوکلئین از سلول به سلول در مغز ایفا میکند. نکته امیدوارکننده این است که یک داروی تأییدشده از سوی FDA برای درمان سرطان، که بر پروتئین دیگری به نام Lag۳ تأثیر میگذارد، قادر است این انتشار را در مدلهای موشی متوقف کند.
در یک مقاله منتشر شده، یک تیم بینالمللی از دانشمندان به بررسی تعامل این دو پروتئین پرداخته و تأثیر آنها بر پیشرفت بیماری پارکینسون را مورد بررسی قرار داده است.

شیاوبو مائو، عصبشناس دانشگاه جان هاپکینز، اظهار داشت: "اکنون که میدانیم Aplp۱ و Lag۳ چگونه با هم کار میکنند، درک جدیدی از نحوه تأثیر آلفا-سینوکلئین بر پیشرفت بیماری به دست آوردهایم. "
بیش از ۸.۵ میلیون نفر در سطح جهانی به بیماری پارکینسون مبتلا هستند، که این بیماری دومین بیماری شایع عصبی پس از آلزایمر محسوب میشود. این بیماری عموماً با علائمی، چون لرزش، سفتی و مشکلات حرکتی شناسایی میشود و هنوز درمان مؤثری برای آن وجود ندارد.
تحقیقات نشان میدهد که آلفا-سینوکلئین معمولاً ارتباط عملکردی بین نورونها را حفظ میکند، اما زمانی که این پروتئین دچار تغییر شکل میشود، مشکلاتی ایجاد میشود. در آزمایشات اخیر، محققان متوجه شدند که حذف همزمان پروتئینهای Aplp۱ و Lag۳، به طور قابل توجهی جذب آلفا-سینوکلئین را در مغز موشها کاهش میدهد.
محققان به منظور ارزیابی کارایی این دارو، آزمایشاتی را بر روی موشهای طبیعی با استفاده از داروی "نیولوماب/رلاتیماب" انجام دادند. نتایج نشان داد که این دارو نیز توانسته است از تعامل Aplp۱ و Lag۳ جلوگیری کرده و بهطور قابل توجهی از تشکیل تودههای آلفا-سینوکلئین مضر جلوگیری کند.

این پژوهش نویدبخش امکان استفاده از درمانهای موجود برای کنترل بیماری پارکینسون و سایر بیماریهای نورودژنراتیو است و در مجله Nature Communications منتشر شده است. پژوهشگران امیدوارند که با آزمایشات بیشتر بر روی مدلهای موشی از بیماری پارکینسون و آلزایمر، راهکارهای درمانی جدیدی برای این بیماریها پیدا کنند.
انتهای پیام/




