جهش فناورانه علوم شناختی ایران از نورومدولیشن تا نورومپینگ/ ارتقای تصاویرMRI سه تسلا به سطح هفت تسلا با نرمافزار بومی
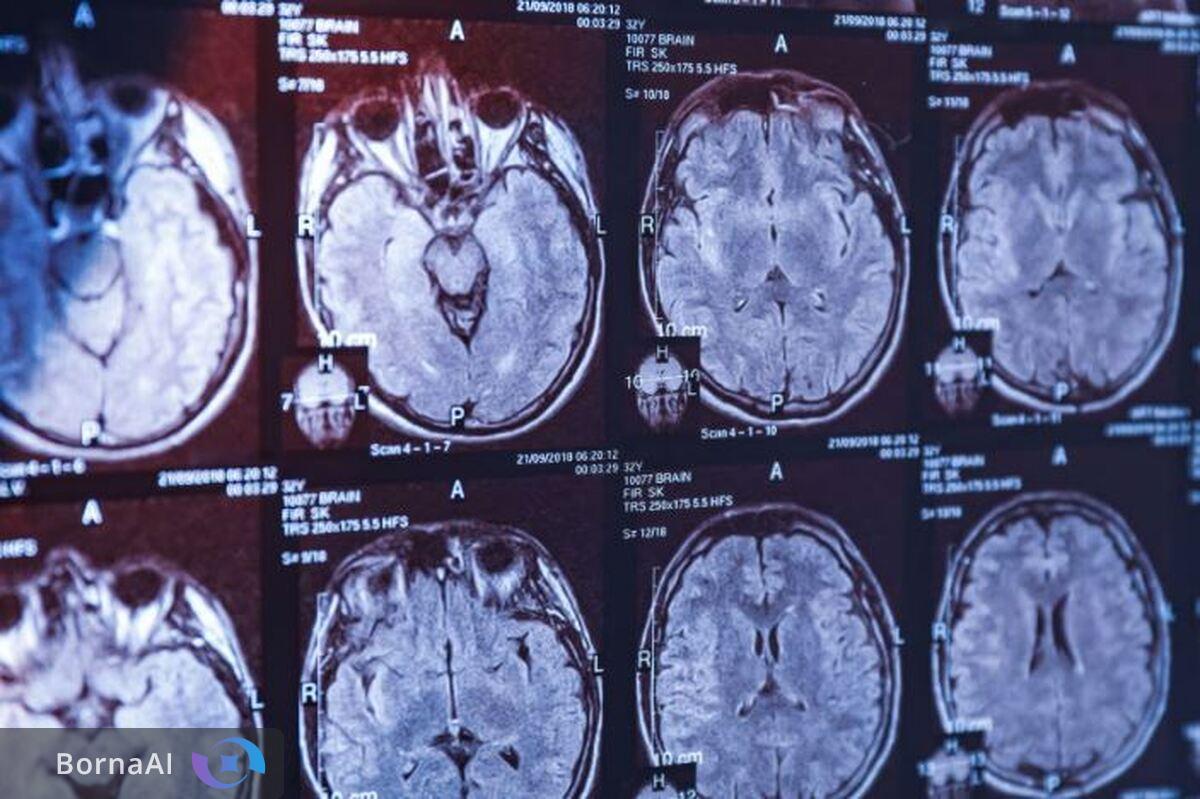
عطاالله پورعباسی، دبیر ستاد علوم و فناوریهای شناختی معاونت علمی در نشست خبری این ستاد با محور تشریح دستاوردهای سال گذشته و برنامههای پیشروی این ستاد که امروز در محل معاونت علمی ریاستجمهوری برگزار شد، در پاسخ به سوال خبرنگار علمی برنا در این خصوص که حضور فناوران و شرکت های دانش بنیان در این حوزه چقدر پررنگ بوده و تاکنون چه اقداماتی انجام شده، گفت: در حوزه دستاورد اصلی فناوران داخلی توسعه نرمافزارهای متناسب با دستگاههای تصویربرداری بزرگ و بالینی مانند MRIهای مرسوم و همچنین دستیابی به دانش فنی اورهال و بهروزرسانی تجهیزات تصویربرداری است که این توانمندی در کشور وجود دارد. فناوران داخلی با استفاده از نرمافزارهای بومی تصاویری که از دستگاههای MRI سه تسلا استخراج میشود را با کیفیتی معادل MRI هفت تسلا تحلیل و گزارش میکنند.

به گزارش برنا، پورعباسی در ابتدای این نشست با اشاره به پیشینه شکلگیری ستاد علوم و فناوریهای شناختی اظهار کرد: در سال ۱۳۹۰ شورای عالی انقلاب فرهنگی سند توسعه علوم شناختی را تصویب کرد که بر اساس آن کشور صاحب یک نقشه راه جامع برای توسعه علوم شناختی، فناوریهای شناختی و فناوریهای اثرگذار بر حوزه شناخت شد.
به گزارش برنا، وی افزود: ذیل این سند و بهمنظور راهبری کلان این حوزه ستاد توسعه علوم و فناوریهای شناختی با مدیریت ریاست جمهوری از همان زمان تشکیل شد و مسئولیت برنامهریزی، سیاستگذاری و تدوین نقشه راه توسعه علوم و فناوریهای شناختی را بر عهده گرفت.
چهار ماموریت اصلی کشور در حوزه شناخت
دبیر ستاد علوم و فناوریهای شناختی تصریح کرد: بر اساس این سند چهار ماموریت اصلی برای کشور در حوزه شناختی تعیین شد که همگی در همان مقطع به تصویب رسید و مبنای فعالیت ستاد قرار گرفت.
پورعبارسی توضیح داد: ماموریت نخست حرکت در مسیر گفتمان تطبیقی و ایجاد پیوند میان علوم شناختی و علوم دینی و اسلامی است.
وی افزود: ماموریت دوم تحقق استقلال فناورانه در حوزه علوم و فناوریهای شناختی است تا کشور بتواند در زمینه فناوریهای عصبشناختی بهویژه در حوزههای درمانی و سایر فناوریهای مورد نیاز، به توان داخلی اتکا کند.
کاربردیسازی دانش و مدیریت اختلالات شناختی
دبیر ستاد علوم و فناوریهای شناختی محور سوم را کاربردیسازی و تجاریسازی نتایج پژوهشها دانست و گفت: این ماموریت با رویکرد ماموریتمحور تعریف شده و تمرکز آن بر کمک به رفع کاستیها و مدیریت چالشهای شناختی در کشور است.
پورعبارسی اظهار کرد: ماموریت چهارم ستاد کمک به مدیریت اختلالات و کاستیهای شناختی بهویژه در دو سر طیف سنی کودکان، نوجوانان و سالمندان است؛ گروههایی که اختلالات شناختی در آنها از اهمیت بالایی برخوردار بوده و بار قابل توجهی به کشور تحمیل میکند.
وی تاکید کرد: مجموعه این چهار ماموریت شامل توسعه دانش شناختی، دستیابی به استقلال فناورانه، کاربردیسازی نتایج دانش و کمک به مدیریت اختلالات شناختی بوده و مبنای فعالیت ستاد در سالهای گذشته قرار داشته است.
وضعیت نیروی انسانی علوم شناختی در کشور
دبیر ستاد علوم و فناوریهای شناختی با اشاره به وضعیت نیروی انسانی این حوزه گفت: در طول این سالها یک زیستبوم نسبتا گسترده در حوزه علوم شناختی در کشور شکل گرفته و در حال حاضر حدود ۸ تا ۹ هزار پژوهشگر در این حوزه فعالیت میکنند.
وی افزود: این پژوهشگران یا بهصورت مستقیم در رشتهها و مقاطع تحصیلی مرتبط که طی این سالها در کشور ایجاد شدهاند تحصیل کردهاند یا از رشتههایی مانند روانشناسی، روانپزشکی و همچنین رشتههای فنی و مهندسی وارد حوزه علوم شناختی شدهاند.
پورعبارسی تصریح کرد: با وجود این در مقایسه با نیازهای کشور و استانداردهای جهانی تعداد متخصصان این حوزه همچنان کم است و کشور به تربیت نیروی انسانی بیشتری در این زمینه نیاز دارد.
نقش دانشگاهها و معاونت علمی در توسعه زیرساختها
وی ادامه داد: معاونت علمی و فناوری ریاست جمهوری و دانشگاهها در این مسیر اقدامات موثری برای تاسیس رشتهها و مقاطع تحصیلی، توسعه زیرساختها و گسترش آزمایشگاهها انجام دادهاند.

شرکتهای فعال و چالش کمبود نیروی فناور
دبیر ستاد علوم و فناوریهای شناختی با اشاره به وضعیت شرکتهای فعال در این حوزه گفت: در حال حاضر حدود ۱۵۰ تا ۱۶۰ شرکت در حوزه علوم و فناوریهای شناختی فعال هستند که احتمالا تعداد واقعی آنها بیش از این رقم است.
وی افزود: از این تعداد حدود ۵۰ تا ۷۰ شرکت دانشبنیان هستند که اغلب مسیر دانشگاهی را طی کرده و محصولات آنها ماهیت دانشگاهی دارد.
پورعبارسی اظهار کرد: با وجود این ظرفیت تعداد فناوران و نیروهای پشتیبان فناور در این زیستبوم بسیار محدود است و این موضوع یکی از چالشهای جدی این حوزه به شمار میرود.
وی تصریح کرد: برای ایجاد توازن در کنار حدود ۸۰۰ تا ۱۰۰۰ هزار پژوهشگر علوم شناختی کشور به حدود ۳۰ هزار نیروی فناور و پشتیبان فناور نیاز دارد در حالی که فاصله قابل توجهی با این عدد وجود دارد.
توسعه آموزشهای مهارتی و جذب نیرو از سایر رشتهها
پورعبارسی افزود: به همین دلیل توسعه آموزشهای حرفهای و مهارتی و ترویج حوزه علوم شناختی بهگونهای که افراد از سایر رشتهها وارد این حوزه شوند بهطور جدی در دستور کار قرار گرفته است.
آزمایشگاه ملی نقشهبرداری مغز؛ زیرساخت راهبردی کشور
وی در ادامه به زیرساختهای سختافزاری این حوزه اشاره کرد و گفت: یکی از مهمترین زیرساختها آزمایشگاه ملی نقشهبرداری مغز است که در زمان راهاندازی در سطح خاورمیانه کمنظیر بود وامروز نیز یکی از بزرگترین زیرساختهای سختافزاری منطقه محسوب میشود.
دبیر ستاد علوم و فناوریهای شناختی افزود: تاکنون حدود ۲ هزار پژوهشگر از تجهیزات، امکانات و خدمات این آزمایشگاه استفاده کردهاند و برنامهریزی شده است با بهروزرسانی تجهیزات، ظرفیت این زیرساخت افزایش یابد.
توسعه آزمایشگاه ملی حیوانات آزمایشگاهی بزرگ
پورعبارسی در ادامه از توسعه آزمایشگاه ملی حیوانات آزمایشگاهی بزرگ (نخستین سانان) خبر داد و گفت: این زیرساخت که بهویژه در حوزه علوم شناختی کاربرد دارد میتواند نقش مهمی در پیشبرد پژوهشهای پیشرفته ایفا کند.
وی تصریح کرد: در حال حاضر فعالیت با حیوانات آزمایشگاهی بزرگ مانند میمونها بهصورت پراکنده در برخی دانشگاههای کشور انجام میشود، اما ایجاد یک مرکز متمرکز با ظرفیت حدود ۵۰۰ نمونه میتواند خدمات پژوهشی و فناورانه گستردهای ارائه دهد.
پیشرفت ۸۰ درصدی پروژه و زمان بهرهبرداری
دبیر ستاد علوم و فناوریهای شناختی گفت: این آزمایشگاه در حال حاضر حدود ۸۰ درصد پیشرفت فیزیکی دارد و مراحل تجهیز آن در حال انجام است و امیدواریم در فاصله زمانی پیشرو تامین حیوانات آزمایشگاهی نیز انجام شود و تا پایان ۱۴۰۵ انجام گیرد.
وی افزود: بر اساس برنامهریزی صورتگرفته بهرهبرداری از این آزمایشگاه مطابق زمانبندی اعلامشده انجام خواهد شد و این مجموعه عملا با محوریت پژوهشکده رویان اداره میشود.
اتصال آزمایشگاههای شناختی به شبکه ملی آزمایشگاهی
پورعبارسی تصریح کرد: یکی از زیرساختهای بسیار مهم در حوزه علوم شناختی استفاده از ظرفیت آزمایشگاههای دانشگاهی در سطح استانهاست که خدمات خود را در بستر شبکه ملی آزمایشگاهی کشور ارائه میکنند. در حال حاضر ۷۰ آزمایشگاه استانی در حال فعالیت هستند.
وی اظهار کرد: اتصال آزمایشگاههای شناختی به این شبکه میتواند بار بزرگی را از دوش پژوهشگران بردارد و دسترسی آنها به تجهیزات و خدمات تخصصی را به شکل قابل توجهی افزایش دهد.
سه زیرساخت جدید در دستور کار ستاد
دبیر ستاد علوم و فناوریهای شناختی با اشاره به توسعه زیرساختهای جدید گفت: در کنار این موارد سه زیرساخت جدید نیز طی برنامهریزیهای اخیر در دستور کار قرار گرفته است.
راهاندازی پایگاه ملی دادههای شناختی
وی درباره نخستین زیرساخت افزود: راهاندازی پایگاه ملی دادههای شناختی در دستور کار قرار دارد و مقدمات آن فراهم شده و تجهیز سختافزاری آن بهزودی آغاز میشود.
پورعبارسی گفت: در این پایگاه دادههایی از جمله تصاویر مغزی و دادههای شناختی تولیدشده در آزمایشگاههای مختلف کشور گردآوری میشود تا پس از پردازش و مدلسازی به شکل قابل استفاده در اختیار پژوهشگران قرار گیرد.
مرکز ملی مطالعات بالینی و نقش تنظیمگری ستاد
وی ادامه داد: زیرساخت دوم راهاندازی مرکز ملی مطالعات بالینی و آزمایشگاه مرجع در حوزه علوم و فناوریهای عصبشناختی است. یکی از نقشهای اصلی ستاد انجام وظیفه تنظیمگری در حوزه تجهیزات و فناوریهای عصبشناختی است و برای تحقق این مأموریت، وجود یک مرکز ملی و آزمایشگاه مرجع ضروری است.
اعتباربخشی فناوریهای شناختی پیش از ورود به بازار
پورعبارسی تصریح کرد: بر این اساس هر فناوری شناختی که در کشور توسعه پیدا کند باید مراحل اعتباربخشی و مطالعات بالینی خود را در این مرکز طی کند و پس از تایید آزمایشگاه مرجع در اختیار مصرفکنندگان نهایی قرار گیرد.
وی اظهار کرد: در این روند درمانگران و جامعه هدف میتوانند از استاندارد بودن و ایمنی فناوریهای شناختی اطمینان حاصل کنند.
راهاندازی بیوبانک ملی مغز
وی در ادامه به راهاندازی بیوبانک مغز اشاره کرد و گفت: بیوبانک مغز یکی از زیرساختهای بسیار مهم پژوهشی در حوزه علوم شناختی است که مراحل ایجاد آن در حال انجام است.
دبیر ستاد علوم و فناوریهای شناختی افزود: در این بانک زیستی بافتهای مغزی بهصورت کامل یا بخشهایی از بافت مغز که در جریان جراحیها یا مطالعات پژوهشی به دست میآید نگهداری میشود.
الزامات حقوقی و دسترسی پژوهشگران
پورعبارسی تصریح کرد: ایجاد بانک ملی مغز نیازمند ساختار منسجم، ضوابط حقوقی مشخص، تعیین حقوق معنوی و اخذ رضایتنامههای قانونی است.
وی افزود: مسائل حقوقی این زیرساختها برطرف شده و مراحل اجرایی آنها آغاز شده است و پیشبینی میشود فاز بهرهبرداری از این پروژهها تا پایان برنامه هفتم توسعه و حدود سال ۱۴۰۷ محقق شود.

اقدامات فناورانه در حوزه علوم شناختی
پورعباسی در پاسخ به سؤال خبرنگار علمی خبرگزاری برنا درباره فناوریهایی که تاکنون توسط شرکتهای فناور فعال در این حوزه توسعه یافته است، اظهار کرد: در حوزه فناوریهای عصبی کشور در بخشهای مختلفی بهصورت فعال ورود کرده است که یکی از مهمترین و فعالترین این بخشها فناوریهای تنظیم عصبی یا نورومدولیشن Neuromodulation" است.
توسعه فناوریهای تنظیم عصبی همتراز کشورهای پیشرفته
وی افزود: در حوزه فناوریهای تنظیم عصبی شامل تحریک الکتریکی، تحریک مغناطیسی، تحریک نوری و سایر روشهای مرتبط میتوان گفت کشور ما همپای کشورهای پیشرفته جهان حرکت کرده و دانش فنی این فناوریها بهطور کامل در داخل کشور وجود دارد.
دبیر ستاد علوم و فناوریهای شناختی تصریح کرد: بخش قابل توجهی از این فناوریها در داخل کشور به مرحله تجاریسازی رسیدهاند و شرکتهای فناور ایرانی در حال تولید دستگاهها و فناوریهای تحریک عصبی و تحریک الکتریکی هستند که بخشی از نیازهای کشور را با تکیه بر توان داخلی تامین میکنند.
پورعباسی ادامه داد: حتی در حوزه تحریک نوری نیز فناوریهای بومی توسعه یافته و استانداردهای دستگاهها و فناوریهای تولید داخل در این حوزه تقریبا در سطح استانداردهای جهانی قرار دارد.
پیشرفت کشور در فناوریهای نقشهبرداری مغزی
وی در ادامه پاسخ به سوال برنا گروه دوم فناوریهای شناختی را فناوریهای نقشهبرداری مغزی یا "نورومپینگ Neuromapping" عنوان کرد و گفت: این فناوریها طیف گستردهای از تجهیزات را شامل میشود؛ از دستگاههای ثبت سیگنالهای مغزی گرفته تا تجهیزات پیشرفتهتر مانند ثبت عمقی سیگنالها و دستگاههای تصویربرداری پیشرفتهای نظیر MRI، PET و MEG که برای تحلیل، ثبت و پردازش تصاویر مغزی مورد استفاده قرار میگیرند.
دبیر ستاد علوم و فناوریهای شناختی اظهار کرد: در این حوزه نیز شرکتهای فناور داخلی عملکرد بسیار خوبی داشتهاند و میتوان گفت که کشور در زمینه فناوریهای ثبت سیگنالهای مغزی بهروز است.
وی افزود: دستگاههای EEG در داخل کشور تولید میشود و چندین شرکت فناور بهصورت فعال در این زمینه فعالیت میکنند که دستگاههای تولیدی آنها دارای استانداردهای جهانی بوده و هم در پژوهشها و هم در مراکز درمانی و کلینیکی مورد استفاده قرار میگیرد.
تولید تجهیزات تصویربرداری عصبی پیشبالینی در داخل کشور
پورعباسی با اشاره به تجهیزات تصویربرداری پیشرفته به خبرنگار علمی برنا گفت: در حوزه دستگاههایی مانند MRI و PET که از تجهیزات پیشرفته تصویربرداری محسوب میشوند خوشبختانه دانش فنی آنها در کشور وجود دارد.
وی تصریح کرد: این دستگاهها برای کاربریهای پیشبالینی مطالعات تجربی و پژوهشهای حیوانی در داخل کشور تولید شده و هماکنون در حال استفاده هستند.
دبیر ستاد علوم و فناوریهای شناختی ادامه داد: در حال حاضر چندین آزمایشگاه پیشبالینی مهم در کشور فعال هستند که از جمله آنها میتوان به آزمایشگاههای دانشگاه علوم پزشکی تهران و دانشگاه تربیت مدرس اشاره کرد که از فناوریهای تصویربرداری عصبی تولید داخل مانند MRI، CT Scan و PET استفاده میکنند.
وی این موضوع را یک پیشرفت بسیار ارزشمند در حوزه علوم شناختی و فناوریهای عصبی کشور دانست.
ارتقای دستگاههای MRI بالینی با نرمافزارهای بومی
پورعباسی در ادامه به وضعیت دستگاههای تصویربرداری بزرگ و بالینی مانند MRIهای مرسوم اشاره کرد و گفت: در این حوزه دستاورد اصلی فناوران داخلی توسعه نرمافزارهای متناسب با این دستگاهها و همچنین دستیابی به دانش فنی اورهال و بهروزرسانی تجهیزات تصویربرداری است که این توانمندی در کشور وجود دارد.
وی به برنا گفت: نکته جالب توجه این است که فناوران داخلی با استفاده از نرمافزارهای بومی تصاویری که از دستگاههای MRI سه تسلا استخراج میشود را با کیفیتی معادل MRI هفت تسلا تحلیل و گزارش میکنند.
دبیر ستاد علوم و فناوریهای شناختی توضیح داد: بهعبارت دیگر با توسعه یک نرمافزار بومی این امکان فراهم شده است که از دستگاههای تصویربرداری سه تسلا تصاویری با کیفیت بسیار بالاتر تهیه شود که این موضوع یک فناوری بسیار ارزشمند محسوب میشود و هماکنون در اختیار درمانگران، پزشکان و متخصصان کشور قرار دارد.

وضعیت بیوبانک مغز در کشور
پورعباسی در ادامه درباره وضعیت بیوبانک مغز در کشور گفت: در حال حاضر یکی از دانشگاههای کشور اقدام به راهاندازی بیوبانک مغز کرده است و دانشگاه علوم پزشکی ایران دارای بیوبانک مغز فعال است.
وی افزود: البته ممکن است بهصورت محلی و محدود برخی دانشگاههای دیگر نیز نمونههایی از بیوبانکهای مغزی داشته باشند اما زمانی که صحبت از بیوبانک ملی مغز میشود، الزامات خاصی مطرح است.
الزامات اخلاقی و حقوقی بیوبانک ملی مغز
دبیر ستاد علوم و فناوریهای شناختی تصریح کرد: از جمله این الزامات میتوان به امکان دسترسی سایر پژوهشگران به نمونههای بافتی، رعایت ملاحظات اخلاقی، مسائل مربوط به حقوق مالکیت معنوی و اخذ رضایتنامههای قانونی از صاحبان نمونهها اشاره کرد.
وی ادامه داد: زمانی که از بانک ملی صحبت میکنیم، منظور ایجاد یک زیرساخت منسجم است که بتواند بستر انجام مطالعات گسترده و ملی را فراهم کرده و دسترسی پژوهشگران را به نمونههای زیستی مغز تسهیل کند.
پورعباسی افزود: در حال حاضر برنامه این است که تمامی بیوبانکهایی که در کشور دارای نمونههای زیستی مغز هستند بهصورت شبکهای به یکدیگر متصل شوند و این شبکه میتواند یک زیرساخت بسیار غنی برای انجام پژوهشهای بزرگ در حوزه علوم شناختی و فناوریهای عصبی باشد.
تمرکز جغرافیایی بیوبانکها
وی در پاسخ به سوال خبرنگار علمی برنا مبنی بر اینکه آیا این بیوبانکها صرفا در تهران مستقر هستند یا خیر، گفت: بیوبانکهای ملی عمدتا در شهر تهران مستقر هستند اما این بیوبانکها و پایگاههای ملی داده بهطور معمول دارای پشتیبانها و نسخههای بکآپ هستند. بر اساس اصول و چارچوبهای پدافند غیرعامل حتما باید این ملاحظات لحاظ شود؛ بهگونهای که بیوبانکی که در یک ساختمان در تهران مستقر است باید نسخه پشتیبان آن در مکان دیگری نگهداری شود تا در صورت بروز حوادث طبیعی مانند زلزله، سیل و سایر بحرانها اطلاعات و نمونهها از بین نرود.
وی خاطرنشان کرد: این ملاحظات در مطالعات اولیه پیشبینی شده و پشتیبانیهای لازم در نظر گرفته شده است و این احتمال وجود دارد که بخشی از این زیرساختها در شهرهای دیگر نیز مستقر شود.
پورعبارسی در پایان خاطرنشان کرد: در هفتههای اخیر هیاتهایی از برخی کشورهای عضو بریکس از این زیرساختها بازدید کردهاند که نشاندهنده جایگاه قابل توجه ظرفیتهای فناورانه کشور در حوزه علوم و فناوریهای شناختی است.
انتهای پیام/





